Co má společného technické inženýrství a neurochirurgie? Potřebu přesného měření a málo ženských osobností. Zatímco pravítka a sondy jsou nezbytné ve výrobě k přesnému opracování výrobků a provedení vrtů, v neurochirurgii je stejná přesnost nutná k provrtání lebky a zavedení sond do mozku či provedení jiných operačních úkonů. Vysoké přesnosti je třeba kvůli správné lokalizaci místa zákroku. Medicínské inženýrství vychází z principů používaných ve strojírenství a stává se lákavou kariérou i pro ženy, které se doposud strojírenství spíše vyhýbaly.

Robot neuromate s vrtací koncovkou a rámem použitým jako reference a pevná opora lebky.V medicíně se již delší dobu využívají roboti, kteří díky své přesnosti a neúnavnosti pomáhají lépe a rychleji zejména při chirurgických zákrocích. Své místo nacházejí zejména v neurochirurgii, kde při operaci mozku či páteře mohou i desetiny milimetru hrát fatální roli.
„Robot snižuje míru chybovosti tím, že přesně nasměruje chirurgické nástroje do předprogramovaných poloh na základě předchozího vyšetření na výpočetní tomografii (CT). Vyznačuje se přitom vysokým stupněm přesnosti a opakovatelnosti při absenci únavy,“ vysvětluje Josef Sláma, ředitel české pobočky společnosti Renishaw, která patří mezi lídry v oblasti vývoje měřicích systémů pro strojírenství a lékařství.

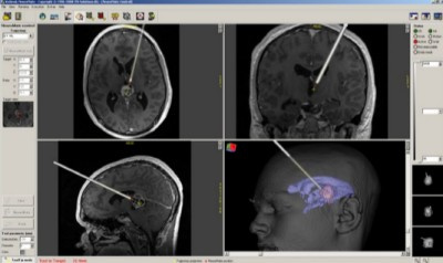
Zpětná vazba k poloze hrotu sondy v reálném čase na navigační stanici neuromate. Tumor v oblasti corpus pineale je znázorněn fialově.Specializovaní roboti se úspěšně prosazují zejména ve stereotaktické neurochirurgii, která je díky minimálnímu zásahu do těla pacienta velmi šetrná. Využívá trojrozměrný souřadnicový systém k lokalizaci míst uvnitř nitrolebního prostoru. Podobně jako u obráběcích strojů se hlava pacienta fixuje pomocí stereotaktického rámu, který kromě fixace hlavy přesně definuje operační pole ve speciálním softwaru souřadnice X, Y a Z.
„Neurochirurg má stále plnou kontrolu a může přesně manévrovat kloubovým robotickým ramenem, které slouží jako pevná základna pro upevnění a manipulaci s chirurgickými nástroji. Hlava pacienta je spolu s rámem upevněna k základně robota,“ popisuje praxi Josef Sláma.

Neurochirurg ovládá kloubové robotické rameno. Hlava pacienta je upevněna v rámu k základně robota. Robot přesně nasměruje chirurgické nástroje do polohy na základě vyšetření na výpočetní tomografii (CT). Při vlastní operaci se rameno robota díky přesným souřadnicím zaměří na cílový bod, který může představovat místo pro stimulaci mozku při léčbě epilepsie, nádor či absces. Poté se provede návrt lebeční kosti, který má u biopsie průměr 2,1 mm, v případě hluboké mozkové stimulace 14 mm. Nástroj poté pronikne do nitrolebního prostoru a následně do cílového bodu. Podle typu výkonu se může zavést stimulační sonda, odebere se vzorek tkáně k histologickému vyšetření či se provede punkce abscesu odsátím zánětlivého ložiska.
Zatímco vývoj a výzkum ve strojírenství je spíše doménou mužů, medicínské inženýrství se zdá pro ženy mnohem přitažlivější. Kariéru v oblasti vývoje medicínských robotů si například vybrala doktorka Suk Kinchová, vedoucí konstruktérka designu a vývoje ve společnosti Renishaw. Ve svém oboru je natolik úspěšná, že se letos zařadila mezi 50 nejúspěšnějších žen ve strojírenství. Toto prestižní ocenění uděluje Sdružení žen ve strojírenství ve spolupráci s deníkem The Guardian a společností Assystem.

Doktorka Suk Kinchová se letos zařadila mezi 50 nejúspěšnějších žen ve strojírenství. Spolupracovala na projektech, jako je například robot neuromate.Kinchová pracovala v divizi neurologických produktů společnosti Renishaw posledních jedenáct let a spolupracovala na projektech, jako je například robot neuromate. Ten je schopen automaticky a přesně zajistit správné stereotaktické úhlové a prostorové zapolohování a vedení chirurgických nástrojů. Tím snižuje výskyt potenciálních chyb způsobených lidským faktorem.
„Roboti na sále nenahrazují chirurga, ale dělají za něj úkony náročné na přesnost a soustředění, které jsou v průběhu operace vyčerpávající. Chirurg se tak může plně soustředit na zákrok. Roboti navíc snižují počet neurochirurgů potřebných na operačním sále,“ vysvětluje roli robotů Josef Sláma.
Dalším revolučním produktem, na kterém doktorka Kinchová pracovala, je medicínský systém neuroinfuse, určený k podávání léků. „Léčiva administruje přímo do mozku s možností zavedení trvalého titanového portu instalovaného do lebky tam, kde jsou vyžadovány opakované infuze. Dramaticky zlepšuje život pacientům s Parkinsonovou chorobou díky možnosti opakovaného podávání léku přímo do postižené oblasti,“ uzavírá Josef Sláma, ředitel české pobočky společnosti Renishaw.
(Partnerský příspěvek)